第05版:健康

版面概览

上一版  下一版   

 

2018年11月21日 星期三

 
 

放大  缩小  默认    下一篇

 

万万没想到,废料、热浴系统、鸽子……

有300种抗原可能引起过敏性肺炎

【医师人物】

文 朱晓萍(东方医院)

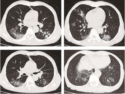
68岁患者王先生近日因“发热、咳嗽、气短10日”入院。入院前十天,他出现畏寒、发热,恶心,咳嗽,体温最高达39.0℃,他口服克感敏后,体温下降,但咳嗽、咳痰加重,接着他使用莫西沙星静滴数天,症状也无好转,之后他进行胸部CT片,发现双肺斑片影。于是拟诊“肺炎”收入我院。

一直以来,王先生身体一直很健康,无宠物饲养史,他表示自己也没有高血压、糖尿病、慢性阻塞性肺病等慢性疾病史,甚至也没有过敏史。

入院后进行了一系列检查后,各功能正常。那么问题来了,病因究竟在哪?

医生仔细追问病史,原来他之前曾接触废旧机械厂废料,废料成分为不明的金属及晶体。在处理废料5个多小时都未佩戴防护口罩等,他当时即感咽痒、咳嗽,第二天出现全身乏力发热等症状,他自认为“感冒”,未予重视,后症状逐渐加重才进行就诊。结合此病史及影像学等资料,呼吸中心医生诊断过敏性肺炎,予以相应的治疗症状胸部CT好转后出院。

过敏性肺炎(HP)是由于吸入各种抗原性有机物质引起的一种间质性肺病,既往也称外源性过敏性肺泡炎。

目前已发现300多种直接吸入可引起过敏性肺炎的抗原。这些抗原可以广义的被分为细菌,真菌,动物蛋白,植物蛋白,小分子化学物质和金属。

★有意思的是,吸烟可显著降低过敏性肺炎的发生率。

★有研究发现,21%的过敏性肺炎与家庭热浴系统有关,可引起热浴肺病。

★日本的夏日过敏性肺炎主要是由皮肤毛孢子菌属引起,其他如白色念珠菌、毛霉菌属等吸入后也可引起过敏性肺炎。

★动物方面不仅鸽子、鹦鹉可引起过敏性肺炎,实验室动物如老鼠,接触鱼粉提取物也可以引起过敏性肺炎。

★小分子化学物质已成为过敏性肺炎新型的暴露原,如房屋装修时使用涂料中的异氰酸盐、酐类,染发剂、过氧乙酸、柴油及金属加工液。随着社会发展致敏性物质的使用越来越广泛,HP发病率有逐年增加的趋势。

过敏性肺炎的症状急性过敏性肺炎:

常在接触抗原4~8 h后发病,表现为流感样症状,如发热、咳嗽、呼吸困难.反应强度与吸入抗原的量以及暴露时间有关,脱离抗原接触后病情可在24~72 h内好转。反复的急性发作,则可以亚急性形式,在几周或几个月内逐渐出现持续的呼吸困难,进行性加重。

慢性形式:

是指长期暴露于低强度抗原所致,也可以是反复抗原暴露导致急性或亚急性反复发作后的结果。

过敏性肺炎的诊断

明确的暴露史对诊断十分重要,但患者可能对发病环境认识不足,或抗原非常隐匿。因此详细询问病史非常重要,特别是环境和职业暴露史。

★抗原暴露史及时间上相关的呼吸道症状是过敏性肺炎诊断的重要依据。如室内霉菌(如屋漏、不通风的卫生间)、室内宠物、羽绒制品、空调器或湿化器、热浴装置等。

★应当注意,许多病例在持续或间歇吸入抗原数月或数年后发病,有些抗原可能是新的未报道或未被认知,不要轻易否定。

★环境中抗原的浓度、可溶性、颗粒的大小、接触抗原的频度、症状出现前的接触时间、呼吸系统的防护情况及工作中各种未知因素都可影响疾病的发病率、潜伏期及严重程度。

过敏性肺炎的预防与治疗

有些抗原常存在于生活、工作环境之中,尽量减少其接触,加强通风、佩戴合适的呼吸面罩等。合适的面罩可以滤过90%~95%的可吸入微粒。

使用糖皮质激素,泼尼松30~60 m g/d,l-2周或直到临床或影像学和肺功能明显改善后减量,疗程4~6周。亚急性2周后逐步减量,疗程3~6个月;慢性持续时间更长。本病属过敏性疾病,痊愈后,不宜从事原岗位工作。

【专家简介】朱晓萍

荷兰Nijm egen大学医学博士

主任医师 博士生导师

专业擅长:肺结节,肺栓塞,肺

间质疾病及肺部疑难疾病。

专家门诊:陆家嘴本部:周二下午,周三上午;南院:周一上午。

 

 

上 海 报 业 集 团      版 权 所 有

社区晨报陆家嘴